メール 審美歯科トップページへ ミナミ歯科クリニック

HOME >> 矯正治療

《 矯正の治療経過 》

 

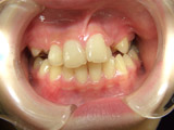
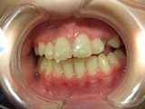
矯正の治療経過です。
1番左の写真は初診時でH19 4月です。
左上の2番目の歯が内側に入ってしまい歯並びが悪くなっています。

2番目の写真はH20 1月です。
だんだん2番目の歯が前に出てきて並んできました。

3番目の写真はH20 11月です ほとんどずれなく並ぶことが出来ました。
取り外し式の装置なので、ワイヤーは使っていません。
本人や両親の方と話し合いこれで経過観察となりました。

おおよそ1年半の治療で9万円で出来ました。
このような形で当院は矯正治療を行っています。





《 矯正(床矯正)について 》

当院で行っている“床矯正”は、まさしく“床”を使って小さいあごを拡大し、スペースを作って歯を並べる治療です。
人間には本来自然に回復する機能が備わっています。
“咬む”ことによる機能の訓練と“歯を抜かない”床矯正により出来る限り体に負担をかけない治療が可能となります。
「目立たない」「抜かない」「痛くない」などの特徴があります。

矯正画像

@「目立たない」
 床矯正では自由に取り外しすることが出来ます。
 出来るだけ長く装着ていたほうが早く並ぶのですが、学校での問題がある場合などは外しておくことも可能です。
 矯正の1番の問題は、ワイヤーブラケットが目立つ事です。
 その期間がない、もしくは短いことはとてもすばらしいことだと思いませんか!

A「抜かない」
 床矯正では99%抜歯はしません。
 いい歯を抜くことはもったいないことです。
 矯正のために歯を抜くと、奥歯でしっかり咬めなくなるとか、治療期間が長くなるとか色々な問題が起こります。
 抜いてもいいことはありません。

B「痛くない」
 床矯正は力まかせではなく、床の力及び人間本来の自然治癒力で歯を動かします。
 痛みが出ることはほとんどありません。

C「そして、高くない」
 これは、当院でつけ加えました。
 矯正でもうひとつ問題なのは、料金が高い事です。
 当院は矯正料金をなんと市価の1/3〜2/3にしました。
 一般的に矯正料金は60〜100万円ほどですが、当院の“矯正基本料”は現在、『20〜40万円』です。
 歯列不正が軽度のほうが安くなります。
 なお床装置の使用する数によって金額が変わります。
 また必要によってはワイヤーを使用するケースもあります。

 




《 矯正手順と料金 》

 1回目  『無料』
 このプリントを使って、おおまかな説明をします。
 2回目  『検査診断料3万円』
 もっと詳しくお知りになりたい方は、治療方針と矯正料金などを決定するために
 模型作成用のかたとり、レントゲン撮影、写真撮影をします。
 なお、検査診断料の市価は5万円〜です。

 3回目  『無料』
 1〜4週間後、治療方針と矯正料金などを説明します。

 4回目  『1装着6万円』
 説明を聞かれたうえで、矯正希望の場合は装置を作ります。
 1装置装着することにお支払いいただきます。

 5回目以降  『矯正技術料1千円』
 矯正開始 → 矯正終了 → 保定 → 経過観察 → 終了
 来院1回ごとに、矯正技術料をいただきます。